Ernie’s ball trouble: Managing a challenging oesophageal foreign body
2xl
right-aligned

When 10-year-old Labrador Ernie arrived at Lumbry Park Veterinary Specialists in obvious discomfort and with acute regurgitation, his clinical history hinted at what might be going on. A known scavenger, Ernie had reportedly been seen eating something earlier that day and on admission he was intermittently retching, grunting with each breath and clearly uncomfortable.

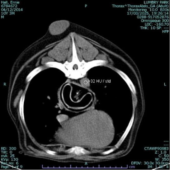
A gastric foreign body was suspected, but CT imaging revealed a different problem — a large, intact object lodged in the caudal oesophagus. Despite being compressed in shape, it was clearly consistent with a tennis ball and was completely obstructing the lumen. Given the risk of perforation and stricture formation, immediate intervention was required.

A CT scan revealed a foreign object lodged in Ernie's oesophagus.
upload
grey

Specialists from disciplines including Internal Medicine, Diagnostic Imaging, Soft Tissue Surgery and Anaesthesia came together to decide on the best course of action, initially agreeing to advance the ball into the stomach for surgical removal. However, attempts to dislodge it distally were unsuccessful due to its size and how firmly it was wedged. Under general anaesthesia, a large orogastric tube was carefully passed beyond the obstruction, and after considerable manipulation using endoscopic graspers and oral forceps, the ball was finally extracted through Ernie’s mouth.

A post-removal endoscopic examination showed only mild oesophagitis at the impaction site, which was a fortunate outcome given the degree of obstruction. A more surprising finding came when the stomach was examined! It contained: six Pepperami wrappers, a plastic-wrapped dog treat and an assortment of leaves, all successfully retrieved in addition to the tennis ball. Ernie recovered well from the anaesthesia and was treated with omeprazole and analgesics and discharged the next day with his owners reporting that he was “back to his normal self” almost immediately and confirmed that tennis balls are now permanently banned from the house.

Oesophageal foreign bodies remain a high-risk presentation in small animal practice. Unlike gastric or intestinal obstructions, they carry a much greater risk of complications such as perforation, mediastinitis and long-term strictures. In this case, CT was invaluable in localising the obstruction and guiding the decision-making, and the success of the procedure reflected close collaboration between imaging, internal medicine and surgical teams, with surgery on standby throughout.

Cases such as Ernie’s highlight the importance of early recognition, prompt referral and multidisciplinary management in preventing potentially life-threatening complications. For patients with a repeated history of indiscriminate eating, preventative strategies are vital. Owners should be advised to monitor their dogs closely, consider lead walking or basket muzzles, and remove high-risk objects from the home environment. Behavioural support or investigation for underlying gastrointestinal disease may also be appropriate in repeat cases.

Lumbry Veterinary Referrals is one of the largest and most advanced veterinary specialist referral centres in the UK. With a 140-strong team, it offers a broad range of specialist veterinary referral services including anaesthesia and analgesia, cardiology, dermatology, diagnostic imaging, internal medicine, neurology and neurosurgery, oncology, orthopaedics, soft tissue surgery and has its own Critical and Emergency Care Centre.