New case report highlights potential ‘gum–gut axis’ in cats: Resolution of chronic diarrhoea following treatment of periodontal disease
2xl
base
right-aligned
white

A newly published case report in Animals[i] is drawing significant attention within the veterinary community after documenting the complete resolution of chronic small‑bowel diarrhoea in a cat following treatment of severe periodontal disease - without any other interventions.

The findings could have important implications for how veterinary professionals approach diagnostics and case management in cats presenting with chronic gastrointestinal signs.

The case, managed by CVS’ Lumbry Park Veterinary Specialists, involved a five‑year‑old domestic shorthair cat with a two‑year history of persistent small‑bowel diarrhoea, fluctuating appetite, weight loss and poor coat quality. Despite dietary modification and routine clinical workup, the cat’s gastrointestinal signs persisted with no definitive diagnosis.

cat on scales

During physical examination, clinicians noted severe periodontal disease affecting multiple teeth, accompanied by marked calculus, gingival recession and oral discomfort. While further gastrointestinal diagnostics - including faecal analysis, endoscopy or biopsy - were planned, the veterinary team prioritised treatment of the advanced dental disease due to its severity and potential impact on systemic health.

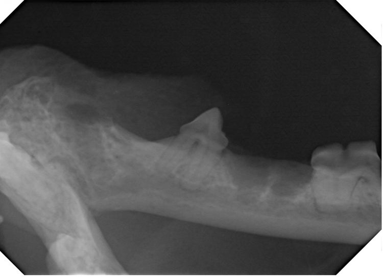
Comprehensive dental treatment was performed, including extraction of multiple teeth affected by stage four periodontal disease, treatment of retained roots and management of areas with alveolar osteitis and tooth resorption. Full-mouth radiography guided extractions and ensured complete removal of root structures. The procedure was supported by multimodal analgesia and regional nerve blocks following best‑practice guidelines.

Cats tooth
Cats tooth

The cat recovered rapidly and required minimal post‑operative medication. Over the following two weeks, the owner reported marked improvements in appetite, demeanour and coat quality. Surprisingly, within one month, the cat’s chronic diarrhoea had fully resolved, with faecal scores stabilising between two and three[ii]. Crucially, no additional dietary, medical or environmental changes were made - strongly suggesting the resolution was linked to the dental intervention.

The clinical team observed continued improvement over seven months, including weight gain, increased body condition and sustained healthy faecal consistency.

Xray of cats tooth

Periodontal disease is common in cats and is known to be linked with comorbidities. Recent UK data show that cats with periodontal disease have 1.79 times greater odds of having at least one comorbidity compared with healthy-mouthed cats. While associations with systemic disease are recognised, the resolution of chronic gastrointestinal signs following dental treatment has rarely been documented in felines.

The case lends support to emerging theories in human medicine describing a ‘gum–gut axis’ - a bidirectional relationship between periodontal inflammation, oral dysbiosis and gastrointestinal health. In humans, periodontal disease has been associated with conditions such as inflammatory bowel disease, ulcerative colitis and colorectal cancer, with oral–intestinal microbiome interactions suggested as contributing mechanisms.

This newly published veterinary case suggests similar mechanisms may exist in cats and raises important questions for further research. While it is not yet possible to establish a definitive causal link, the case offers compelling evidence that dental disease may contribute to or exacerbate chronic gastrointestinal dysfunction, and that dental therapy may have benefits extending well beyond the oral cavity.

Lead author Samantha Taylor, Specialist in Internal Medicine and Feline Medicine at Lumbry Park, commented:

“This case highlights the importance of a thorough oral examination in any cat presenting with chronic illness. Dental disease is often underestimated as a localised issue, yet its systemic implications can be far-reaching. The remarkable improvement seen after treating this cat’s periodontal disease alone demonstrates how oral pathology can drive gastrointestinal signs, and reinforces the value of addressing dental health early to potentially avoid more invasive diagnostic procedures.”
The authors highlight the need for larger studies and microbiome analysis to better understand this potential gum–gut link in cats. Nonetheless, the report provides valuable evidence supporting prompt dental assessment and intervention in feline patients with chronic enteropathy - reinforcing the broader role of oral health in overall feline wellbeing.