Miracle Lab: Yate dog beats brain tumour thanks to Bristol Vet Specialists
2xl
right-aligned

A young Labrador from Yate has stunned vets, owners and specialists alike after making an extraordinary recovery from a large brain tumour, thanks to cutting‑edge cancer treatment at Bristol Vet Specialists.

Purdey, a one‑year‑old Labrador, was rushed to her local vets last summer after suddenly suffering a string of seizures. Her worried owners, Mr. Rivett and Mrs. Watters, feared the worst as Purdey’s normally playful personality was replaced by alarming episodes of collapsing and convulsing.

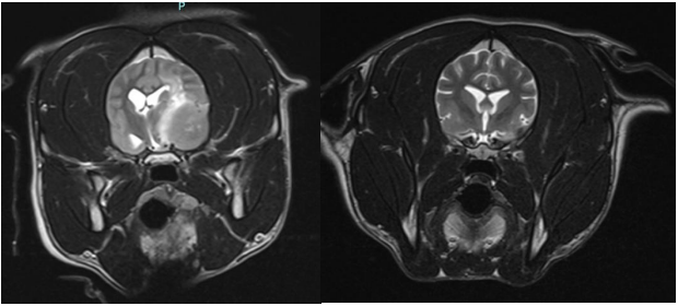
But their quick actions set off a life‑saving chain of events. Purdey was urgently referred to the Neurology team at Bristol Vet Specialists, where neurology specialist Dr. Nicolas Granger led a rapid investigation. Although Purdey appeared normal between seizures, an emergency MRI scan revealed a large mass in the left side of her brain - a rare diagnosis for such a young dog.

Dr Granger said:

In older dogs we often see brain tumours, but in a one‑year‑old Labrador, it’s incredibly rare. We knew we had to act fast

With the odds stacked against her, Purdey was handed over to the hospital’s Oncology team, and Resident in Small Animal Oncology, Dr. Beth Rolf, who designed an aggressive but highly targeted treatment plan to give the young dog her best chance of survival.

Purdey underwent a series of advanced staging tests, including CT scans and cytology, to ensure the tumour hadn’t spread. With no signs of metastasis, the team moved swiftly to the next stage: world‑class radiotherapy, delivered using the hospital’s state‑of‑the‑art linear accelerator, one of the most advanced pieces of veterinary oncology equipment in the country.

A special mould was custom‑made to hold Purdey perfectly still during her treatment sessions, allowing the oncology team to deliver high‑precision radiation directly to the tumour while safeguarding the surrounding brain tissue. Alongside radiotherapy, Purdey received daily radiosensitising chemotherapy (temozolomide) to boost the treatment’s effectiveness.

Remarkably, Purdey took the entire three‑week protocol in her stride. Apart from one cheeky incident in which she ate something she definitely shouldn’t have - requiring a swift visit to the hospital to bring it back up - she remained her usual mischievous self.

After finishing her treatment, Purdey returned home on medication and strict rest, but her progress was promising. The real miracle came three months later, when a repeat MRI scan revealed a remarkable result: Purdey’s brain tumour had completely vanished.

MRI scans of Purdey's brain before and after treatment.
Dr Beth Rolf said:
A complete response like this is exactly what we hope for. Purdey’s youth, her family’s dedication, and the precision of our radiotherapy equipment all contributed to this fantastic outcome.

Although Purdey will require ongoing monitoring and the tumour may return in future, her owners now have the precious gift they feared they might lose: more time with their playful, loving Labrador.

Today, eight months after her diagnosis, Purdey’s latest MRI has come back entirely clear, leaving her family and her clinical team celebrating an extraordinary victory.

Dr Rolf said:

She’s beaten every expectation. We’re incredibly proud of her.
Owner Dave Rivett said:
The main outcome is Purdey that has had successful treatment - everything else is a bonus. We found the level of care, information and communication exceptional. The experience was as good as it could be considering the circumstance. I'd also like to say how much Purdey enjoyed her visits to the recuperation ‘Puppy Spa’ every day. She loved all the fuss, attention and treats she got on the back of the treatment. So much so, I think she was a bit miffed when it all finished!
Bristol Vet Specialists is one of the largest and most advanced animal hospitals in the UK. The 30,000 sq. ft. multidisciplinary hospital has been custom-built with cutting-edge facilities and equipment. It employs some of the most qualified and experienced veterinary professionals in the world and employs amulti-disciplinary approach, with an entire team around every patient to ensure the best outcome. The site has been designed to facilitate the development of new and emerging treatments and offers the latest technology and treatments in all small animal disciplines[i] - including a “state-of-the-art” 6MV linear accelerator which was used to treat Purdey!
[i] including soft-tissue surgery, orthopaedics, neurology and neurosurgery, internal medicine, ophthalmology, cardiology, dermatology, oncology and dentistry, as well as dedicated anaesthesia, analgesia, diagnostic imaging and intensive care departments
ref-1