German Shepherd given new lease of life with total hip replacement at Chestergates

2xl
2024-03-01
base
/
Case Studies
transparent
medium
false
right-aligned
white
- Latest Biomedtrix polyethylene acetabular liner used to extend longevity of replacement hip joint
- Surgery should alleviate all discomfort and restore normal function for the remainder of her life
A German Shepherd has been given a new lease of life as a result of a Biomedtrix total hip replacement at Chestergates Veterinary Specialists.
The nine year old female dog had been displaying symptoms of hind limb lameness, stiffness and a reluctance to exercise for 10 months. These clinical signs had been progressively worsening.
Initially, her condition had been managed conservatively/medically with meloxicam (Metacam) and bedinvetmab (Librela). This treatment option had been partially successful, but unfortunately, the improvements seen initially were not sustained and she was assessed with a view to total hip replacement.
Upon examination, Chestergates Head of Surgery, David Thomson, identified the German Shepherd had bilateral hip osteoarthritis secondary to hip dysplasia, a relatively common finding in the breed. Manipulation of both hips revealed a reduced range of motion in both hips and crepitus. In addition, a consistent pain response was elicited on extension of both hips.
Hip osteoarthritis and dysplasia conditions generally result in a slow progression of stiffness and lameness as the disease progresses, proportionate to the degree of cartilage being lost in the hip joint. Initially, conservative treatment options are advised. If this fails, then salvage surgeries (total hip replacement or femoral head and neck excision) would be then considered appropriate. David, therefore, advised moving from the initial medical treatment to the surgical option of a total hip replacement.
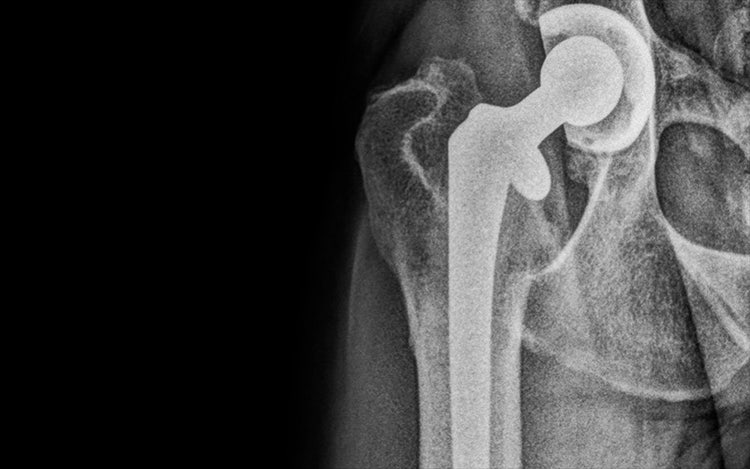
The initial step in total hip replacement is thorough examination of each dog’s specific radiographic morphology and accurate digital templating. Most total hip replacement systems have a 5-10 % complication rate, but this figure can be minimised with meticulous planning. In this German Shepherd’s case, a cemented total hip replacement system was thought to be most appropriate, due her morphology and age. An innovative new Biomedtrix total hip replacement system, with a highly cross-linked polyethylene acetabular liner with the incorporation of Vitamin E, was used in this case. This change to the acetabular prosthesis is designed to increase the longevity of the acetabular cup. In total, the surgery time took two hours.
Post operation, the patient was advised to have six weeks of strict rest and recuperation to minimise the potential risk of potential complication, particularly dislocation. At the end of this period, she was clinically assessed by David and her follow-up radiography shows no complication.
The surgery performed should alleviate all discomfort in the hip and restore normal function for the remainder of the dog’s life.
David Thomson, Head of Surgery at Chestergates said:
“Hip replacement is a multi-step, technically demanding procedure which is intolerant of technical error. If all aspects of THR are optimised, there can be a transformational effect on the patient’s mobility and quality of life.”
Chestergates Veterinary Referrals is a leading specialist led, multi-disciplinary veterinary referral hospital situated just north of Chester in the North West of England. It offers 24 hour 365 days supervised hospitalisation area, separated by species. The Chestergates team offer a broad range of specialist veterinary referral services, including anaesthesia and analgesia, cardiology, dermatology, cruciate repair, diagnostic imaging, endoscopy, internal medicine, neurology and neurosurgery, ophthalmology, radioiodine therapy, rehabilitation & physiotherapy, soft tissue & general surgery, and total hip replacement.
CVS Group operates across small animal, farm animal, equine, laboratories and crematoria, with over 500 veterinary practices, referral centres and sites in the UK, the Republic of Ireland, Australia and the Netherlands. In the last five years the company has invested nearly £80 million in its sites, facilities and equipment, in addition to industry leading training and support, to give the best possible care to animals.